2023年5月22日月曜日

顕微鏡を使った根管治療

こんにちは。武蔵小金井の三浦歯科医院 院長の三浦です。


清々しい青空が広がる心地良い季節になりました。

こうした時期こそ、お口の中もすっきり爽やかにして

気持ちよく過ごしたいですね。


歯科では、普段のセルフケアでは取り除けない

汚れや歯石もしっかり除去できます。

ぜひお気軽にご来院いただき、

お口も心も晴れやかにお過ごしください。



さて、今回は歯科治療のお話をしたいと思います。


当院ではほとんどすべての治療に

歯科用顕微鏡(マイクロスコープ)を使用しています。


歯の神経治療(根管治療)についても、

基本的にラバーダムという唾液汚染防止ゴムを使用した上で

顕微鏡で確認し、

必要に応じてCT撮影を行なった上で治療をします。



先日は、他院で治療中に、

マイクロスコープを使う保険外の根管治療を進められて

転院希望の患者さんがおいでになりました。


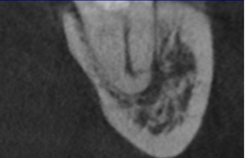
最初に一般的なレントゲンを撮影し



仮止めを取って拝見したところ、

本来、奥歯には3-4箇所ある神経の穴が

弧を描くようにつながっていました。


これは樋状根(といじょうこん)といって、

根の中の清掃が難しいものです。


そこでCTで確認しました。



CT画像を動かして精査すると

根の先の方で90度に曲がっています。



こうなると、いくら顕微鏡で覗いても

曲がった先は見えません。


この曲がった先をきれいにするのは非常に困難です。

そこで、根管治療を專門に行う先生に紹介しました。



最近は、根管治療を專門にする先生が増えてきましたが、

その中でも、今回の歯を治療できるのは

知る限り、10人もいないと思います。


今回はその中のひとりの

信頼できる先生に紹介させていただきました。



各種学会に参加して勉強し、

いろいろな先生と知り合い、その腕前を知り、

紹介できる間柄になったのは財産だと思います。



今後も根管治療に限らず、インプラント、矯正も、

当院でできることは対応し、

他院に紹介したほうが患者さんの利益に繋がると思われる場合は

適切な医療機関に紹介させていただきます。


地域の皆さんのかかりつけ医として

患者さん第一で考えておりますので

どんな症状でもまずはお気軽にご相談ください。


 

 

.:*:'゜.:*:'゜.:*:'゜.:*:・'゜.:*:・'゜.:*:・'゜ 

三浦歯科医院
〒184-0003 東京都小金井市緑町4丁目5−2
TEL:042-381-8241